(RT)- Médicos de la Universidad de Dundee (Escocia) advirtieron del peligro de intentar contener los estornudos luego de informar del inusual caso de un hombre que terminó con un agujero en la tráquea.
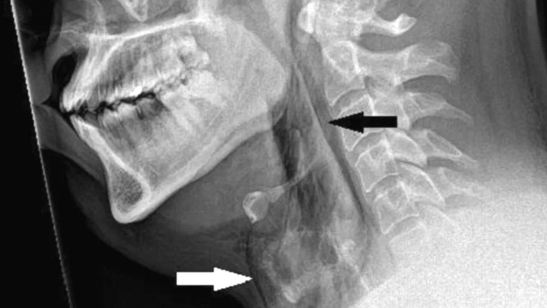
La historia, documentada este mes en la revista médica BMJ Case Reports, señala que el paciente, de unos 30 años, comenzó a sufrir un intenso dolor en el cuello inmediatamente después querer evitar un fuerte estornudo tapándose la nariz y manteniendo la boca cerrada al mismo tiempo, mientras conducía. Rápidamente acudió a urgencias del hospital Ninewells de la ciudad de Dundee, donde fue sometido a una radiografía y tomografía de cuello y tórax, que revelaron un pequeño “desgarro traqueal” a nivel de la tercera y cuarta vértebra torácica.
El hombre no requirió tratamiento quirúrgico y fue medicado con analgésicos y fármacos para la alergia debido a sus antecedentes de rinitis alérgica, cuyo síntoma típico suelen ser los estornudos. Cinco semanas después se realizó una tomografía computarizada que confirmó que tanto el desgarro como cualquier otra anomalía traqueal habían desaparecido.
Se sospecha que lo sucedido al paciente fue consecuencia de una “rápida acumulación de presión” en la tráquea provocada por la maniobra de bloquear las fosas nasales y la boca. La presión en las vías respiratorias superiores durante un estornudo es de 1 a 2 kilopascales (kPa), pero si la boca y la nariz están cerradas la esta puede aumentar hasta 20 veces, explican.
Los médicos que investigaron el incidente no se habían encontrado antes con un caso similar y explican que “una perforación traqueal espontánea es una afección rara y potencialmente mortal”. Por lo general, son causadas por lesiones traumáticas después de ciertos procedimientos médicos (tiroidectomía, intubación traumática, traqueotomía percutánea), por una lesión corrosiva esofágica o como resultado de traumatismos cortantes y contundentes, señalaron.
Sin embargo, recalcaron en la necesidad de no intentar contener el acto reflejo del estornudo, que funciona como mecanismo de defensa del sistema respiratorio.





